皆さんこんにちは、むかえ歯科・小児歯科です。
今回は、お子様の歯並びについてお話します。
「子どもの歯並びが悪くなってきたかも、もう矯正を始めた方がいいのかな?」と疑問に思ったことがある方も多いのではないでしょうか。
結論から言うと、気になることがあればすぐに歯科医院に相談しましょう。お子様の歯の状態によって、治療法が異なるためです。
この記事では、子どもの歯並びについて
- 歯並びが悪いデメリット
- 悪くなる原因
- 改善する方法
- 歯科矯正の種類
などを解説します。お子様の歯並びについて疑問や悩みを抱えている親御様は、ぜひ当コラムをご覧ください。
[監修者]
子どもの悪い歯並びの種類4選

悪い歯並びには、いくつか種類があります。代表的はものは、主に以下の4つです。
- 反対咬合(はんたいこうごう)
- 上顎前突(じょうがくぜんとつ)
- 開咬(かいこう)
- 叢生(そうせい)
なお本項では紹介した歯並びは、ほんの一例に過ぎません。その他の悪い歯並びは、以下の記事で詳しく解説しているので、ぜひ参考にしてみてください。
▼子どもの悪い歯並びについて知りたい方はこちら▼
>>不正咬合の種類は?からだへの影響や矯正歯科での治療方法を解説
【悪い歯並び1】反対咬合(はんたいこうごう)

user comment….
反対咬合(はんたいこうごう)は、下の前歯や下顎全体が前に出てしまっている歯並びです。顎がしゃくれている状態です。
反対咬合は、
- 発生しにくい
- 奥歯に虫歯ができやすい
などの特徴が挙げられます。
【悪い歯並び2】上顎前突(じょうがくぜんとつ)

user comment….
上顎前突(じょうがくぜんとつ)は、上の顎が前に出ている、いわゆる出っ歯の状態です。
唇が閉じにくくなり、口の中が乾燥しやすいのが特徴です。唾液の分泌量が少なくなり、虫歯や歯周病になりやすかったり、口臭の原因になったりします。
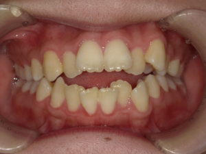
【悪い歯並び3】開咬(かいこう)

user comment….
開咬(かいこう)とは、歯を噛み合わせた際に、前歯が噛み合っていない状態を指します。「オープンバイト」とも呼ばれています。
開咬の問題は、前歯で食べ物を噛み切れなくなることです。さらに、奥歯に必要以上の負担がかかり、歯や顎の骨を痛めてしまう可能性が高いです。
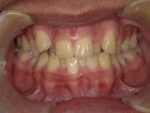
【悪い歯並び4】叢生(そうせい)

user comment….
叢生(そうせい)は、大きい歯があったり、顎が小さかったりして、歯の生えるスペースが狭くなってしまっている状態です。「乱ぐい歯」と呼ばれることもあります。
叢生は、歯が重なっている状態なので、歯磨きをしても汚れが残りやすいです。その結果、虫歯や歯周病などのトラブルに繋がる可能性があります。
歯並びが悪いとどんな影響が出る?

歯並びが悪いと、お子様の体に少なからず悪影響があります。主なトラブルは、以下の2つです。
- 歯磨きがしにくく虫歯・歯周病になりやすい
- 歯ぎしりする可能性が上がる
歯並びを放置すると、お口に様々なトラブルがみられる可能性があります。お子様の歯並びが気になる場合は、早めに歯科医院で治療を受けさせましょう。
【歯並びが悪いデメリット1】歯磨きがしにくく虫歯・歯周病になりやすい

歯並びが悪いと歯磨きがしにくくなります。
その結果、うまく磨けていない部分ができるため、虫歯や歯周病になる可能性が高まります。
虫歯・歯周病の主な原因は、歯垢です。
歯垢は酸素の少ない場所に発生する細菌の塊で、歯と歯茎の隙間に潜んでいます。歯並びが悪いと細かい隙間まで歯ブラシが届きにくくなってしまいます。
▼お子様の歯磨きのコツを伝授▼
>>【幼児向け】歯磨きのコツは?嫌がる子どもを歯磨き好きにするコツや仕上げ磨きの方法も紹介
【歯並びが悪いデメリット2】歯ぎしりする可能性が上がる

歯の噛み合わせがうまくいっていないと、歯ぎしりが起こりやすくなるといわれています。
歯ぎしりは眠りが浅いときに歯を擦り合わせてたり、強く噛み締めたりしてしまう現象のことです。
無意識下で起こっているので、簡単に辞められません。
さらに、歯ぎしりをすると、歯の負担も大きくなります。結果、歯が削れてしまったり、力がかかりすぎて顎関節症になったりするリスクが上がります。
▼歯ぎしりを放置する危険性について知りたい方はこちら▼
>>【歯科医師が解説】歯ぎしりの原因4選!放置しておく5つのリスクも紹介
歯並びが悪くなる3つの原因

歯並びが悪くなる原因は以下の3つです。
- 幼少期の癖
- 姿勢が悪い
- 遺伝
中には、早めに改善できるものもあります。それぞれの原因について、詳しく解説します。
【歯並びが悪くなる原因1】幼少期の指しゃぶりなどの癖

幼少期の指しゃぶりや爪を噛むなどの癖は、歯並びを悪くする原因の1つです。
特に指しゃぶりで長時間口の中に指を入れていると、上の前歯は前に、下の前歯は後ろ側に力が加わり続けます。力が加わっている状態が長く続くと、前歯の噛み合わせがずれてしまう開咬という状態になってしまうこともあります。指しゃぶりの癖がなかなか取れない子どもも多いので注意しましょう。
なお、舌の癖や頰杖をつくことも少しずつ噛み合わせが悪くなる原因です。お子様がやっていないか、注意してみてください。
【歯並びが悪くなる原因2】姿勢が悪い

姿勢が悪いと歯並びに影響が出ます。
普段の姿勢で背骨が曲がっている状態だと顎関節症になりやすく、歯並びにも影響が出ることもあります。
また、寝るときの体勢にも注意が必要です。寝るときに横向きで寝てしまっていると、同じ方向から力が口元にかかってしまいます。
1日7〜9時間眠っている子どもの場合、1日の3分の1は口元や顎に負担をかけている状態です。毎日力を加え続けていくと、少しずつ噛み合わせが悪くなってしまいます。
【歯並びが悪くなる原因3】遺伝
遺伝によって、もともと歯並びがあまり良くない場合があります。
歯の大きさや骨格、顎の大きさや形は両親に似る場合が多いので、両親と同じように歯並びが悪くなりやすいです。
両親の噛み合わせが悪い場合には歯並びが悪くなる可能性が高いので、早めの段階で歯科医院を受診するようにしましょう。
子どもの歯並びをよくする方法

子どもの歯並びを良くする方法は、主に以下の2つです。
- 口のトレーニング
- 小児矯正
なお治療法を選択する際には、お子様の歯の状態に合わせる必要があります。そのため、最終的な判断は歯科医師に仰ぎましょう。
【歯並びを良くする方法1】口のトレーニング
歯並びに影響する口周りの筋肉を鍛える方法に、口のトレーニングがあります。
口のトレーニングは、主に
- 唇・唇周辺
- 舌
- 噛む力
など、の口の周りの筋肉をトレーニングしていき、正しく機能させていく治療方法です。
特に舌の位置が悪いと、舌が歯と常に触れてしまい、歯並びに影響する場合があります。お口のトレーニングで舌の位置を正常にし、正しい使い方を教えることで歯並びが悪くなるのを未然に防ぐ効果が見込めます。
トレーニングをする時期の目安は、永久歯が生えてくる前の3〜6歳です。永久歯が生えないと効果があったかは分からないので、あくまで予防の一環として取り組むのが良いでしょう。
【歯並びを良くする方法2】小児矯正
歯科矯正は顎の位置や骨を器具を使って正しい位置に戻し、噛み合わせや歯並びを綺麗にする治療法です。
矯正装置を使い、歯や顎を正しい位置に少しずつ戻していきます。
永久歯を直す場合は基本的に歯科矯正が必要です。ワイヤーやマウスピースなどの器具を症状に合わせて使用します。
治療期間は1〜2年程の長期間になります。
▼小児矯正の期間と治療の進め方を詳しく解説▼
>>【矯正歯科】子どもの矯正にかかる期間は?小児矯正で使う器具も解説
小児矯正をする3つのメリット

小児矯正には、主に以下3つのメリットがあります。
- 歯並び・噛み合わせを改善できる
- コンプレックスになるのを防ぐ
- 歯が長持ちする
お子様に歯科矯正を受けさせるか悩んでいる方は、ぜひ参考にしてみてください。
【小児矯正のメリット1】歯並び噛み合わせを改善できる
小児矯正をすることで、噛み合わせ・歯並びを改善が期待できます。
歯並びが改善されれば、歯ブラシが歯と歯茎の隙間まで届くようになり、子どものうちから虫歯や歯周病になりにくい環境を作れるでしょう。
咀嚼や発音にも歯並びが影響するので、歯並びを綺麗にすることで苦手な発音を解決できるかもしれません。
【小児矯正のメリット2】コンプレックスになるのを防ぐ
小児矯正をすることで、歯並びがコンプレックスになってしまうのを防ぐことができます。
歯並びが悪くて口を開けて笑うのが嫌だと言う人もいるので、子どものうちから矯正しておくと歯並びを気にしなくても良くなります。
【小児矯正のメリット3】歳をとっても自分の歯で生活できる
小児矯正をすることで、老後も自分の歯で生活する可能性が高まります。
若いうちは気づきにくいですが、歳を重ねていくと歯ぎしりや噛み合わせの悪さが原因で、顎関節症などの症状が出てきます。毎日歯ぎしりで圧力がかかっている場合には、早い段階で歯が抜け落ちてしまうこともあります。
子どものうちから綺麗に手入れできるので、歯の負担や磨きのこしによる虫歯のリスクが下がり、入れ歯や差し歯になる確率も下がります。
お口が健康な状態を維持できれば医療費も減らせますし、何より自分の歯で違和感なく生活できます。
子どもが矯正を始める時期は症状によって異なる

矯正を始める時期は、お子様の症状によって異なります。
上下の前歯が永久歯になったタイミングだと矯正がしやすいので、7〜8歳で矯正を始める子供が多いです。
もっと早く矯正した方が良い場合もあるので、気になったら早めに相談するようにしましょう。
小児矯正治療は年齢によって内容が異なります。ここでは6〜10歳くらいまでの第1期と10〜15歳くらいまでの第2期の違いについて詳しく解説します。
第1期治療(6〜10歳くらいまで)

第1期治療は、6〜10歳くらいを対象とした治療です。
第一大臼歯の噛み合わせの位置から歯並びの癖を確認し、矯正方法を決めていきます。第一大臼歯は一番奥の歯のことです。
噛みあわせた歯の位置がどうなっているかをアングルと呼ばれる分け方で3つに分類します。今の状態を把握した後に、正しく噛み合っている状態になるよう治療していきます。
治療方法としては、顎の骨の位置を変え、永久歯が生えてくるスペースを作ります。
主に、マウスピースやヘッドギアを使用します。特に、ヘッドギアを使って骨の位置をダイレクトに変えられるのはこの第1期だけとなっています。
顎を広げられれば永久歯を抜かずに矯正をすすめられる可能性もでてくるのが、一期から始めるメリットです。
費用の相場は、30万円前後です。
第2期治療(10〜15歳くらいまで)

第2期治療は、10〜15歳くらいまでの時期に生えそろった永久歯を動かす治療です。
治療方法としてはワイヤーやマウスピースを使用しますが、個人に合わせて治療方針は変わります。ワイヤー治療の場合はブラケットという器具をそれぞれの歯に取り付け、歯を動かします。
費用の相場は、約45万円です。なお、第1期治療を受けていない方は、トータルで75万円ほど必要になります。
子どもが受ける歯科矯正の種類2選

お子さまの歯並びを良くするには、以下2つの歯科矯正があります.
- ワイヤー矯正
- マウスピース矯正
各矯正方法に、良い点・注意点があるので、詳しく解説します。
【矯正歯科の種類1】ワイヤー矯正

ワイヤー矯正は一般的な治療法です。
それぞれの歯の表面にプラケットと言う器具をつけ、ワイヤーで結びます。
時間をかけて歯に力を加えて行き、歯並びを改善します。
歯に取り付けるブラケットにはメタル・セラミック・プラスチックなどの種類があり、軽さや違和感に違いがあります。目立たないような白や透明のブラケットもあります。
ワイヤー矯正のメリットは、以下の2点です。
- ほとんどの症例に対応できる
- 食事に影響しにくい
ワイヤー矯正は時間をかけて歯並びを治療していくこともあり、ほとんどの症例に対応しています。矯正器具が舌に触れることがないので食事にも影響しにくいです。
ワイヤー矯正のデメリットは、以下の4点です。
- 痛みが強い
- 歯磨きがしにくい
- 取り外しができない
- 器具が周りから見えてしまう
ワイヤーでしっかり固定しているので慣れるまでは強い痛みがあります。
また、ワイヤーやプラケットが唇に当たることで、口の中が切れてしまうこともあります。器具は取り外しができず唇が閉じにくかったり、歯磨きがしにくかったりします。
器具が丸見えなので目線が少し気になってしまう人もいると思います。
治療の初めたばかりの頃は痛みが強くてしんどいかもしれませんが、対応できる症例が多い方法です。
【矯正歯科の種類2】マウスピース矯正

マウスピース矯正は透明なマウスピースを着けて、歯並びを矯正していく治療法です。
インビザラインという方法では歯型をスキャナで採取して、一人ひとりのお口に合ったマウスピースを作成します。オーダーメイドでマウスピースを作成するので、ワイヤー矯正より5万円高くなります。
マウスピース矯正のメリットは、以下の3つです。
- 透明なので目立ちにくい
- 取り外し可能
- 通院回数が少なく済む
マウスピースは透明なので周りの目線も気になりにくいです。取り外し可能なので手入れも簡単に行えます。ワイヤー矯正と違って通院回数も少なく済むことが多いです。
一方、デメリットは対応できない症例があることです。
症状によってはワイヤー矯正が適していることもあるので、歯科医師に相談することをおすすめします。
マウスピース矯正は負担が少ない分治療できる幅が少ないです。歯科医院で歯の状態を相談し、お子様に合った治療法を選ぶと良いでしょう。
子どもの歯並びが気になる方は、歯科医院へご相談ください

子どもの永久歯の歯並びを整える方法、基本的に小児矯正です。
矯正の開始時期も第1期である6〜10歳のうちに始めれば早期治療となり、永久歯を抜かずに歯並びを整えられる可能性もでてきます。
歯の状態は個人によって異なるので、気になる方はまず歯科医院で相談してみましょう。
当院の矯正歯科もご利用ください。
※コラムをご覧いただいた方からのご連絡が増えており、治療が必要な方のお電話が繋がりにくくなっています。
当院での治療を検討していない患者様による、ご質問だけのお電話はお控えください。

電話予約
初診予約