皆さんこんにちは。
むかえ歯科・小児歯科です。
今回はかみ合わせの深さについてお話していきます。
歯科医院でかみ合わせが深いことを指摘されたけど、どういったリスクがあるのかイメージがわかない方もいるでしょう。
具体的な治療や費用の目安も知りたいところです。
そこでこの記事では、かみ合わせが深い場合のリスクや治療法を解説していきます。
歯並びが気になっている方は、ぜひ参考にしてみてください。
[監修者]
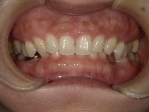
かみ合わせが深い(過蓋咬合)のはどんな症状?

user comment….
かみ合わせが深い症状は、過蓋咬合(かがいこうごう)やディープバイトと呼ばれます。
奥歯をかみしめたときに下の前歯が見えない、もしくは下の前歯で上の歯の裏側の歯茎をかんでしまう状態です。
なお、かみ合わせが深いことで、上顎前突症(出っ歯)や、叢生(八重歯)の状態を併発している場合もあります。
▼不正咬合について詳しく知りたい方はこちら
>>不正咬合の種類は?からだへの影響や矯正歯科での治療方法を解説
かみ合わせが深い場合に起きるリスク

かみ合わせが深いと、笑ったときに上あごの歯茎が見えます。
そのため、見た目が気になる方もいるでしょう。
なお、上あごの内側の歯肉を下の前歯で傷つけ、炎症を起こす可能性もあります。
また、過蓋咬合は前歯が深くかみ合っているため、下あごの動きが自由にならずに顎関節症を引き起こす場合もあります。
かみ合わせが深くなる原因

かみ合わせが深くなる原因は、骨格の位置関係の異常によることがほとんどです。
上顎が成長しすぎて長くなっていたり、下顎が小さかったりすると過蓋咬合を引き起こしてしまいます。
また、奥歯を失ってしまった場合、高さが合わなくなってしまうので、前歯に負担がかかります。
結果としてかみ合わせが深くなることもあります。
かみ合わせが深いときの矯正方法2選

かみ合わせが深いときは、矯正によって治る可能性があります。
そこでこの章では、具体的な治療法を紹介します。
主に以下の2点です。
- マルチブラケット
- インビザライン
それぞれの矯正方法について、分かりやすく解説していきます。
【矯正方法1】マルチブラケット

ワイヤーのついたマルチブラケットを使用する矯正方法です。
歯の表面に「ブラケット」と言われる器具を取り付け、その溝にワイヤーを通すことで、弾力を利用して歯を移動させていきます。
慣れるまで歯磨きがしにくいため、普段からのケアが大切です。
なお口を開けたときに装置が目立ちやすいです。
歯並びの状態によりますが、裏側にブラケットを装着する方法もあるため、見た目が気になる方は歯科医院で相談してみてください。
【矯正方法2】インビザライン

インビザラインとは、マウスピース型の矯正装置を使用する治療法です。
2週間ごとにマウスピースを交換することで、徐々に歯並びを矯正していきます。
ブラケットに比べて目立ちにくく、食事中や歯磨きのときに矯正装置を外せるのがメリットです。
一方で、歯並びによってはインビザラインが適用できないこともあります。
また、1日20時間以上装着しなければ効果が見込まれません。
かみ合わせ(過蓋咬合)の治療費は?保険適用の有無を解説

かみ合わせの治療費はどのくらいかかるのか疑問に感じている方も多いのではないでしょうか。過蓋咬合の矯正には、保険が適用されるかどうかで費用が大きく異なります。
こちらでは、以下2つのケースで治療費の目安を紹介します。
- 保険が適用される場合
- 保険が適用されない場合
保険適用の条件なども解説するので、ぜひ参考にしてみてください。
保険が適用される場合
健康保険が適用される場合の治療費の目安は、以下の通りです。
- 一般的な矯正:約25万円
- 顎の手術が必要な場合:約25~40万円
なお主な条件は、過蓋咬合になっている原因が
- 外科手術を必要とする顎の変形
- 厚生労働大臣によって定められた59点の先天性の病気
であることが挙げられます。
さらに、保険適応の矯正治療を受けるには国が定めた指定医療機関で受診しなければなりません。公益社団法人 日本矯正歯科学会の公式サイトからの確認も可能です。
保険が適用されない場合
過蓋咬合を始めとした矯正治療は自由診療にあたり、保険が適用されないケースがほとんどです。保険が適用されない場合だと、治療費は約40~80万円かかります。
ただし、医療専用ローンなどを利用することで、無理のない返済で治療を受けることが可能です。治療内容や費用についてカウンセリングも受けられるので、不安なことがあればお近くの歯科医院へ相談してみてください。
かみ合わせの深さ(過蓋咬合)が気になるなら歯科医院へご相談ください

かみ合わせが深い状態は過蓋咬合と呼ばれ、放置しておくことで見た目が気になったり、炎症が起きたりします。
矯正によって、かみ合わせが改善する効果が期待できます。
歯並びやかみ合わせが気になるときは、歯科医院にご相談ください。
※コラムをご覧いただいた方からのご連絡が増えており、治療が必要な方のお電話が繋がりにくくなっています。
当院での治療を検討していない患者様による、ご質問だけのお電話はお控えください。

電話予約
初診予約